
Житель южнокорейского города Коян проглотил около двух килограммов камней, крышек от бутылок и монет. Извлекать все это из желудка мужчины пришлось медикам.
54-летний кореец обратился к врачу с жалобой на боль в животе. Медработник обратил внимание на весьма раздутый живот мужчины, при пальпации под кожей ощущались объекты, напоминающие камни, пишет Daily Mail.
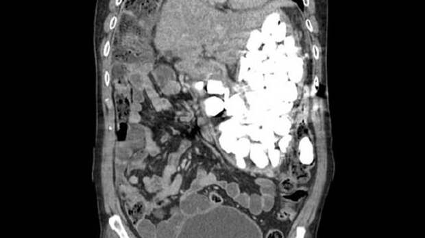
В ходе беседы с врачом пациент признался, что часто глотает камни и монеты, чтобы успокоиться. Рентген показал, что мужчина довольно нервный: весь желудок был заполнен камнями, монетами и бутылочными крышками.
Медикам пришлось проводить операцию для того, чтобы очистить желудок пациента. Общая масса извлеченных оттуда предметов составила около двух килограммов.
Отметим, что подобная цифра не рекорд. Истории известны и другие любители глотать камни, которые добивались более впечатляющих результатов (и также попадали на операционный стол).
Свежие комментарии